A 76-year-old woman presented with angina like chest pain and dyspnea on exertion. Stress MPI showed lateral ischemia. Medical history : HTN, HLD, Gout Medications: Aspirin, Amlodipine, Metoprolol XL, Losartan,…
A 76-year-old woman presented with angina like chest pain and dyspnea on exertion. Stress MPI showed lateral ischemia. Medical history : HTN, HLD, Gout Medications: Aspirin, Amlodipine, Metoprolol XL, Losartan,…
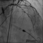
A 73-year-old man presented with angina chest pain. Stress MPI showed anterior and inferior ischemia while planning for lower limb vascular surgery. PMH: Extensive PAD s/p multiple PTAs, HTN, HLD,…
A 73-year-old man presented with angina chest pain. Stress MPI showed anterior and inferior ischemia while planning for lower limb vascular surgery. PMH: Extensive PAD s/p multiple PTAs, HTN, HLD,…
A 71-year-old man presented with new onset CCC class III angina and found to have positive exercise EKG stress test with significant ST-segment depression in multiple leads. PMH: HTN, Ex-smoker…
A 71-year-old man presented with new onset CCC class III angina and found to have positive exercise EKG stress test with significant ST-segment depression in multiple leads. PMH: HTN, Ex-smoker…
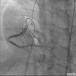
An 86-year-old woman presented with chronic stable angina CCS Class II and a positive MPI for anterior and lateral wall ischemia for 2 years. She was managed medically. Cardiac catheterization…
An 86-year-old woman presented with chronic stable angina CCS Class II and a positive MPI for anterior and lateral wall ischemia for 2 years. She was managed medically. Cardiac catheterization…
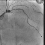
A 74-year-old man presented with class II angina and stress MPI done as pre-op for renal transplant evaluation, revealed moderate multivessels ischemia (apical, inferior and infero-lateral). Coronary angiogram revealed calcified…
A 74-year-old man presented with class II angina and stress MPI done as pre-op for renal transplant evaluation, revealed moderate multivessels ischemia (apical, inferior and infero-lateral). Coronary angiogram revealed calcified…
A 43-year-old man presented with angina chest pain and dyspnea on exertion. PMH: Hyperlipidemia, IDDM, h/o MI, h/o CVA without deficit, positive lupus anticoagulant, ESRD on hemodialysis Medications: Aspirin, Metoprolol…
A 43-year-old man presented with angina chest pain and dyspnea on exertion. PMH: Hyperlipidemia, IDDM, h/o MI, h/o CVA without deficit, positive lupus anticoagulant, ESRD on hemodialysis Medications: Aspirin, Metoprolol…





































