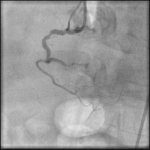
A 72-year-old man presented with acute onset of chest pain and shortness of breath. Found to have ST elevation in inferior leads and then cardiac catheterization lab was activated for…
A 72-year-old man presented with acute onset of chest pain and shortness of breath. Found to have ST elevation in inferior leads and then cardiac catheterization lab was activated for…
































