A 65-year-old female with multiple cardiac risk factors presented with exertional angina and shortness of breath (SOB), and had a positive stress test (ETT+).
A 65-year-old female with multiple cardiac risk factors presented with exertional angina and shortness of breath (SOB), and had a positive stress test (ETT+).
A 55-year-old male with multiple cardiac risk factors presented with worsening chest pain. Myocardial perfusion imaging (MPI) demonstrated ischemia in the left circumflex (LCx) and right coronary artery (RCA) territories.
A 55-year-old male with multiple cardiac risk factors presented with worsening chest pain. Myocardial perfusion imaging (MPI) demonstrated ischemia in the left circumflex (LCx) and right coronary artery (RCA) territories.
A 76-year-old male with nonobstructive CAD presents with severe chest pain and a syncopal episode.
A 76-year-old male with nonobstructive CAD presents with severe chest pain and a syncopal episode.
A 74-year-old male with multiple CAD risk factors presents with dyspnea on exertion, fatigue, and weakness.
A 74-year-old male with multiple CAD risk factors presents with dyspnea on exertion, fatigue, and weakness.
A 61-year-old female presents with chest pain radiating to the left arm. History of hypertension (HTN), hyperlipidemia (HLD), and a positive family history (+FH) of CAD.
A 61-year-old female presents with chest pain radiating to the left arm. History of hypertension (HTN), hyperlipidemia (HLD), and a positive family history (+FH) of CAD.
A 73-year-old male with multiple cardiac risk factors presents with persistent left-sided chest pain.
A 73-year-old male with multiple cardiac risk factors presents with persistent left-sided chest pain.
A 68-year-old female presented with Canadian Cardiovascular Society (CCS) Class III angina. Myocardial perfusion imaging (MPI) showed transient ischemic dilation (TID) without evidence of ischemia.
A 68-year-old female presented with Canadian Cardiovascular Society (CCS) Class III angina. Myocardial perfusion imaging (MPI) showed transient ischemic dilation (TID) without evidence of ischemia.
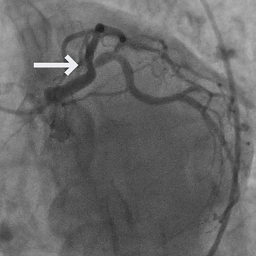
A 48-year-old male presented with Canadian Cardiovascular Society (CCS) Class III angina. Myocardial perfusion imaging (MPI) revealed anterior ischemia. Coronary CT angiography with fractional flow reserve (CTA-FFR) demonstrated a positive result in the mid-left anterior descending artery (mLAD) with an FFR of 0.76.
A 48-year-old male presented with Canadian Cardiovascular Society (CCS) Class III angina. Myocardial perfusion imaging (MPI) revealed anterior ischemia. Coronary CT angiography with fractional flow reserve (CTA-FFR) demonstrated a positive result in the mid-left anterior descending artery (mLAD) with an FFR of 0.76.
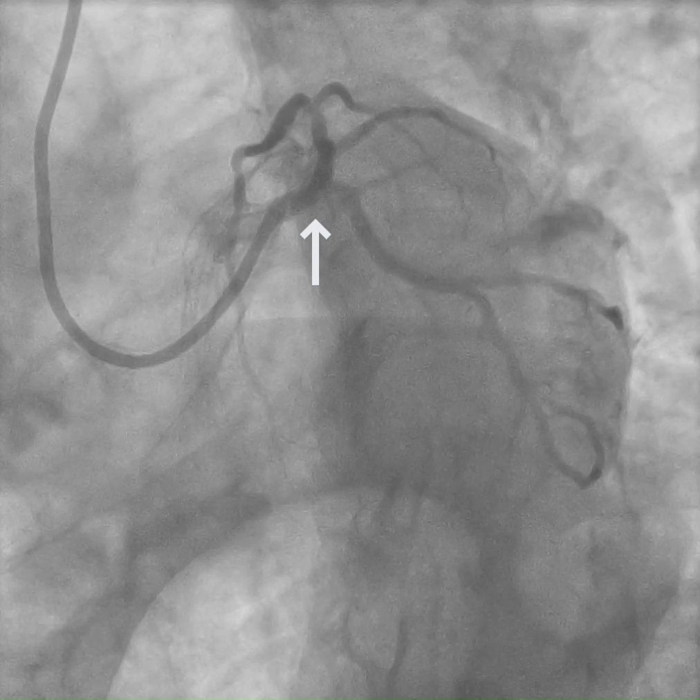
A 73-year-old female with a history of coronary artery bypass grafting (CABG) including LIMA to distal LAD, SVG to D1, and SVG to OM2, presented with recurrent, disabling chest pain.
A 73-year-old female with a history of coronary artery bypass grafting (CABG) including LIMA to distal LAD, SVG to D1, and SVG to OM2, presented with recurrent, disabling chest pain.
A 91-year-old female with a history of asthma presents with Canadian Cardiovascular Society (CCS) Class II angina. Myocardial perfusion imaging (MPI) was positive for inferior wall ischemia.
A 91-year-old female with a history of asthma presents with Canadian Cardiovascular Society (CCS) Class II angina. Myocardial perfusion imaging (MPI) was positive for inferior wall ischemia.
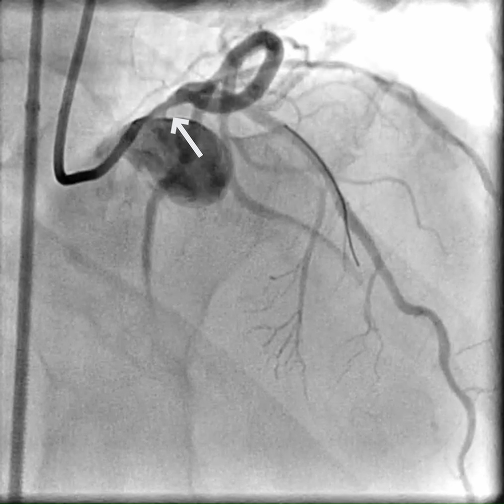
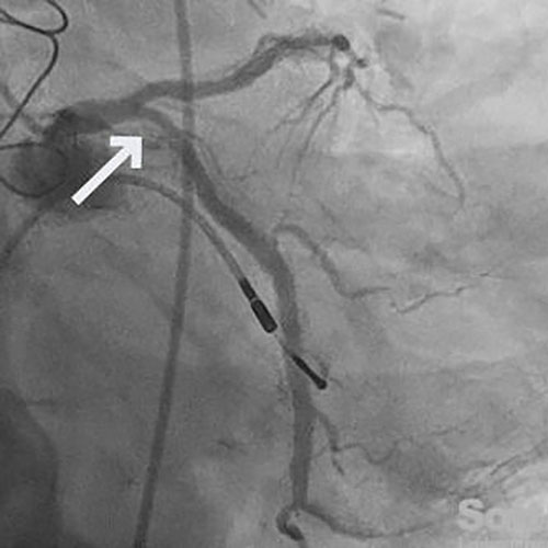
A 73-year-old male with a history of coronary artery bypass grafting (CABG), including patent LIMA to LAD, patent SVG to D2, and occluded SVG to OM, presented with unstable angina (UA).
A 73-year-old male with a history of coronary artery bypass grafting (CABG), including patent LIMA to LAD, patent SVG to D2, and occluded SVG to OM, presented with unstable angina (UA).
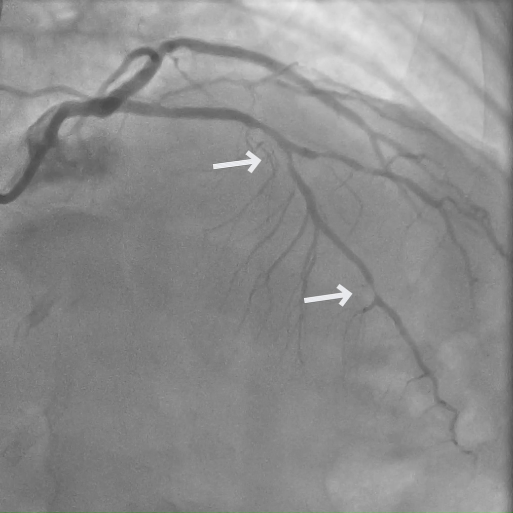
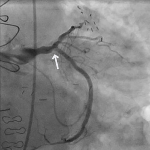
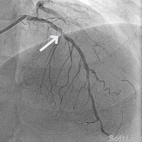
A 52-year-old male with a history of CAD, status post PCI to the mid left anterior descending artery (mLAD), presented with Canadian Cardiovascular Society (CCS) Class IV angina.
A 52-year-old male with a history of CAD, status post PCI to the mid left anterior descending artery (mLAD), presented with Canadian Cardiovascular Society (CCS) Class IV angina.
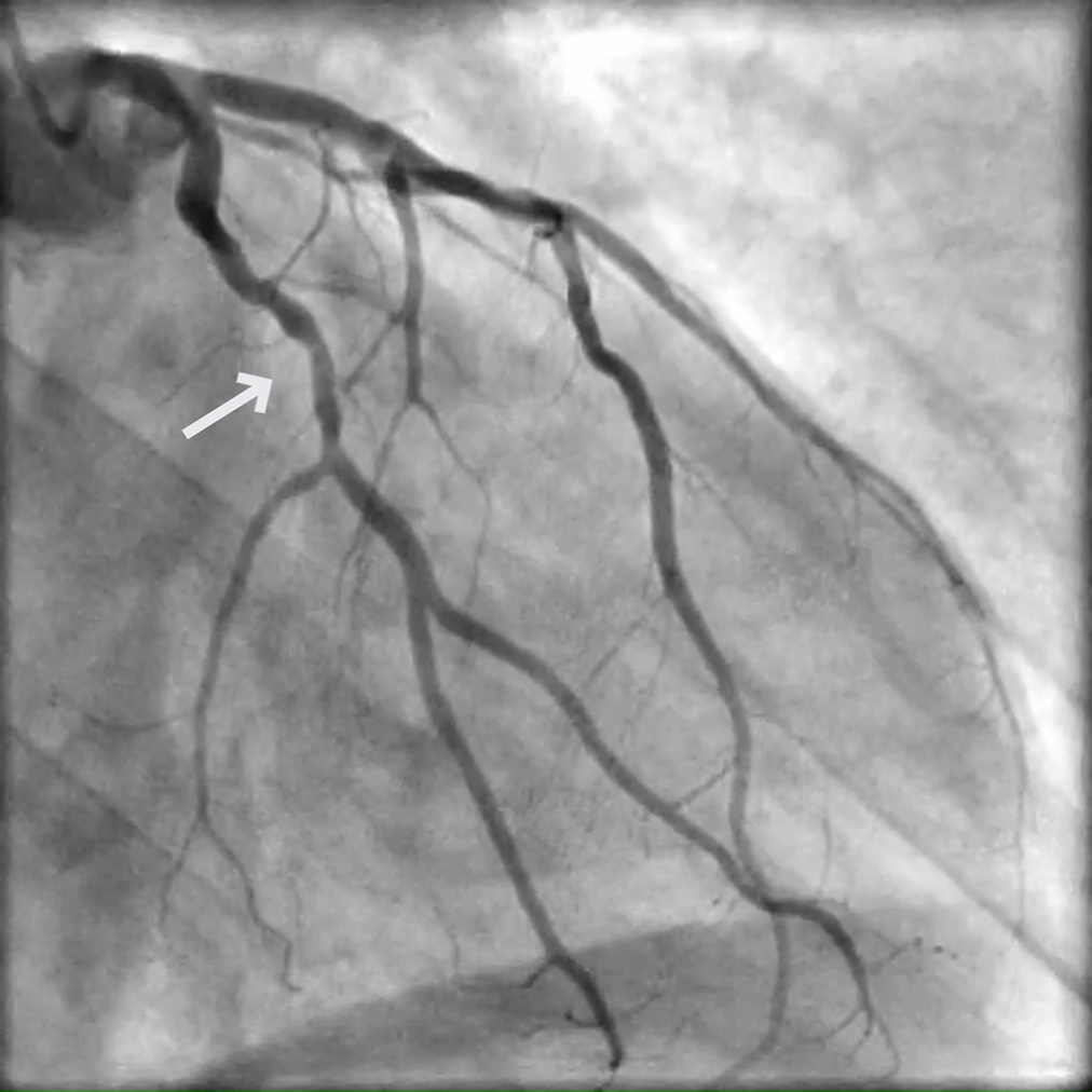
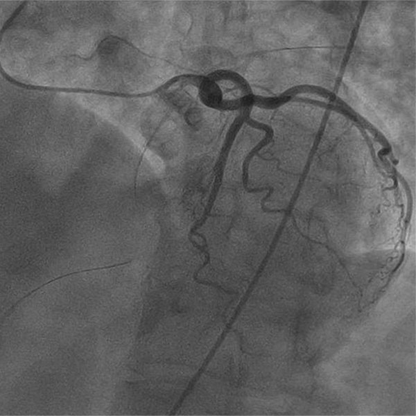
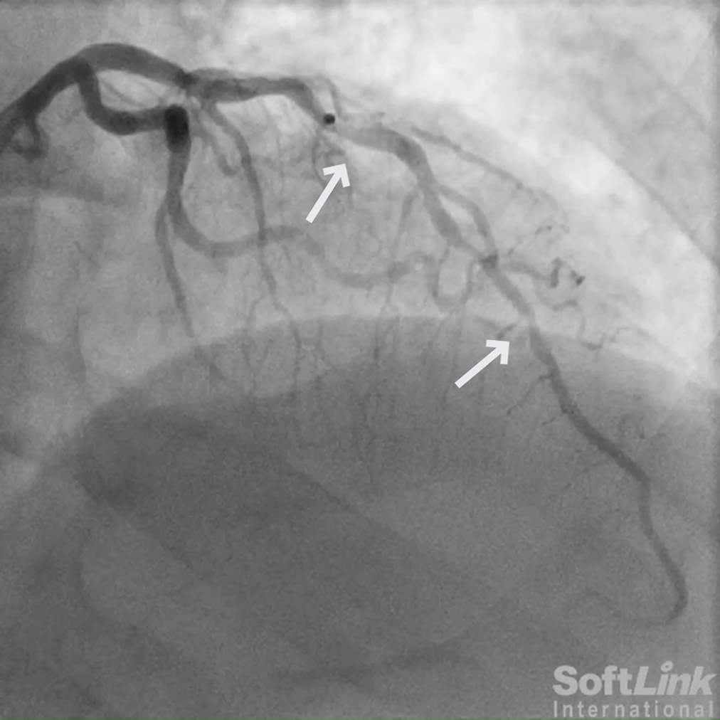
61-year-old male with hypertension, hyperlipidemia, and prior inferolateral STEMI, status post PCI ×2 to the proximal LCx, with residual 70% mid-LAD (D2) disease managed medically.
61-year-old male with hypertension, hyperlipidemia, and prior inferolateral STEMI, status post PCI ×2 to the proximal LCx, with residual 70% mid-LAD (D2) disease managed medically.


















































