NSTEMI
Sapien 3
Case 8 – Complex Multivessel PCI
Case Presentation
- An 87-year-old woman presented with recurrent left sided chest pain and found to have NSTEMI.
- Coronary angiogram revealed 99% ostial LCx disease, 95% ostial D1 with moderate LM disease.
- Medical history: CAD s/p multiple rota-PCIs, Severe AS s/p TAVR, Paroxysmal atrial fibrillation on Coumadin, Factor V deficiency, Hypertension, Hyperlipidemia, CVA.
Selective LCA engagement was performed by using VL 3.5 guide catheter in a usual fashion.
Angiogram showed severe ISR with 99% ostial LCx and 95% ostial D1 disease.
PCI Strategy
- Given the presence of severe ostial bifurcations lesion in LCx and D1, patient was offered to undergo CABG.
- Patient refused CABG and preferred to undergo percutaneous intervention.
- Plan for laser atherectomy +/- stent placement.
- Intracoronary imaging to access the etiology of ISR.
- Laser atherectomy of LCx was performed using 0.9 mm catheter (Spectranetics, Colorado Springs, Colorado) using maximal pulse frequency of 80 Hz and maximal fluency of 80 mJ/mm.2
Cutting balloon angioplasty was performed by using wolverine 3.25/6 in proximal LCx and D1.
There was significant plaque shift to LAD after CB-PTCA of LAD-D1 and kissing balloon inflation was performed with an excellent result.
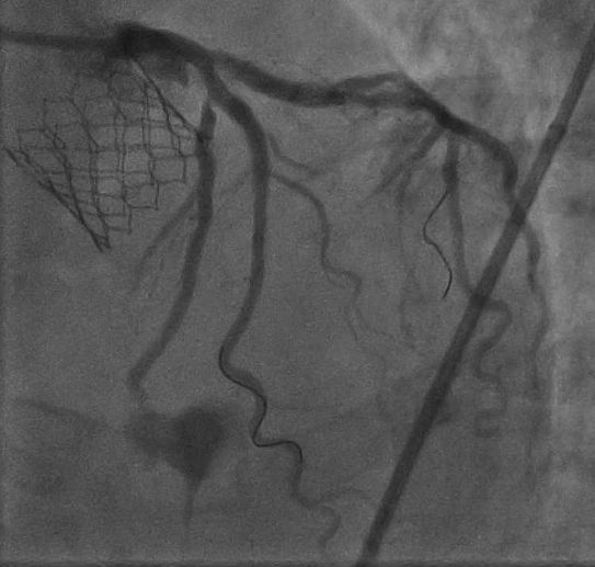
Final angiogram
Learning Points
- The standard catheters (such as VL 3.5, EBU 3.5, FL 4) can be used to engage the coronary artery in patient with post TAVR – Edward Sapien valve (balloon-expandable).
- If difficulty in engagement, we could rail the guide catheter toward the ostium using coronary guidewire or J wire.






































