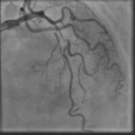
A 76-year-old woman presented with angina like chest pain and dyspnea on exertion. Stress MPI showed lateral ischemia. Medical history : HTN, HLD, Gout Medications: Aspirin, Amlodipine, Metoprolol XL, Losartan,…
A 76-year-old woman presented with angina like chest pain and dyspnea on exertion. Stress MPI showed lateral ischemia. Medical history : HTN, HLD, Gout Medications: Aspirin, Amlodipine, Metoprolol XL, Losartan,…
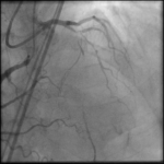
A 64-year-old man presented with angina chest pain and dyspnea on exertion. Stress MPI showed anterior, apical, and septal ischemia. Coronary angiogram revealed 2V CAD (Prox LAD CTO bifurcation with…
A 64-year-old man presented with angina chest pain and dyspnea on exertion. Stress MPI showed anterior, apical, and septal ischemia. Coronary angiogram revealed 2V CAD (Prox LAD CTO bifurcation with…
A 71-year-old man presented with new onset CCC class III angina and found to have positive exercise EKG stress test with significant ST-segment depression in multiple leads. PMH: HTN, Ex-smoker…
A 71-year-old man presented with new onset CCC class III angina and found to have positive exercise EKG stress test with significant ST-segment depression in multiple leads. PMH: HTN, Ex-smoker…
An 86-year-old woman presented with chronic stable angina CCS Class II and a positive MPI for anterior and lateral wall ischemia for 2 years. She was managed medically. Cardiac catheterization…
An 86-year-old woman presented with chronic stable angina CCS Class II and a positive MPI for anterior and lateral wall ischemia for 2 years. She was managed medically. Cardiac catheterization…
A 75-year-old woman with PMH HTN, HLD and NIDDM presented with new onset CCS class II angina for few weeks and stress MPI revealed moderate apical and inferior ischemia. Home…
A 75-year-old woman with PMH HTN, HLD and NIDDM presented with new onset CCS class II angina for few weeks and stress MPI revealed moderate apical and inferior ischemia. Home…




































